dr roberto https://www.drrobertovelez.com/index.php/oncologia-ortopedica-y-traumatologia-dr-roberto-velez-villa/ oncologia y traumatologia Thu, 11 Sep 2025 16:56:00 +0000 es hourly 1 https://wordpress.org/?v=6.8.3 Pronóstico en sarcomas: cómo hablarlo en consulta https://www.drrobertovelez.com/index.php/2025/09/11/pronostico-sarcomas-como-hablarlo-en-consulta/ Thu, 11 Sep 2025 16:46:16 +0000 https://www.drrobertovelez.com/?p=3838 La palabra “pronóstico” impone… y es normal Cuando escuchamos sarcoma, la siguiente pregunta suele ser: “¿Cuál es mi pronóstico?”. Es humano buscar certezas. El pronóstico no es una sentencia: es […]

La entrada Pronóstico en sarcomas: cómo hablarlo en consulta se publicó primero en dr roberto.

]]>
La palabra “pronóstico” impone… y es normal

Cuando escuchamos sarcoma, la siguiente pregunta suele ser: “¿Cuál es mi pronóstico?”. Es humano buscar certezas. El pronóstico no es una sentencia: es una estimación que nos ayuda a decidir. Mi objetivo en consulta es transformar la incertidumbre en un plan claro, honesto y adaptado a tu caso.

Mensaje clave: cada sarcoma es diferente. Podemos hablar de números si lo deseas, pero siempre en contexto y con un plan a tu medida.

¿Qué significa realmente “pronóstico” en sarcomas?

Intentamos responder a dos cosas: riesgo de recaída y expectativa de vida con y sin tratamiento. Para estimarlo combinamos clínica, imagen, anatomía patológica y respuesta a los tratamientos.

Factores que influyen

• Tipo de sarcoma: los subtipos no se comportan igual; algunos son más agresivos que otros.
• Tamaño y localización: los tumores pequeños y bien localizados suelen tener mejor evolución.
• Grado histológico (FNCLCC): resume la agresividad al microscopio; grados altos conllevan mayor riesgo.
• Estadio (TNM): localizado vs. con metástasis cambia el enfoque y el pronóstico.
• Márgenes quirúrgicos: resecciones con márgenes adecuados reducen la recurrencia local.
• Respuesta a quimio/radioterapia: una buena respuesta mejora las expectativas.
• Edad y estado general: influyen en tolerancia a tratamientos y recuperación.
• Unidad especializada: ser tratado en circuitos expertos en sarcomas mejora decisiones y resultados.

Cómo lo hablamos en mi consulta

1) Escuchar primero: qué sabes, qué temes, qué necesitas hoy.
2) Poner nombre al tumor: subtipo y qué implica.
3) Lo que sabemos vs. lo que falta: RM/TC/PET/biopsia y pruebas adicionales.
4) Opciones de tratamiento: cirugía, quimio, radioterapia, dirigidos/ensayos y su objetivo (curación, control, aliviar síntomas).
5) Números, si tú quieres: nomogramas y calculadoras validadas, siempre traducidas a un lenguaje útil.
6) Qué puedes controlar: calendario, preparación, rehabilitación, hábitos y apoyo emocional.
7) Plan por escrito: te llevas un resumen con próximos pasos y señales de alarma.

Números sí… pero con brújula

Herramientas como TNM, FNCLCC o nomogramas (p. ej., Sarculator) sirven para comparar escenarios (qué cambia si añadimos radioterapia o si logramos márgenes más amplios). Son útiles para decidir; no para “predecir” el futuro de una persona concreta.

Preguntas frecuentes

• ¿Debo prepararme para lo peor?
Debemos prepararnos para actuar: confirmar bien el diagnóstico, tratar en un centro experto y empezar el plan adecuado. A veces el objetivo es la curación; otras, controlar la enfermedad y mantener la calidad de vida.

• ¿Se puede operar un sarcoma grande o con metástasis?
Depende del subtipo y la extensión. Incluso con metástasis, hay escenarios donde la cirugía u opciones combinadas mejoran síntomas y función.

• ¿La biopsia puede “diseminar” el tumor?
Realizada correctamente en un circuito oncológico, no. Al contrario, evita operaciones innecesarias o mal planteadas.

• ¿Puedo trabajar o hacer deporte?
En muchos casos sí, con ajustes según localización y tratamiento. El ejercicio adaptado puede ser un gran aliado.

• ¿Cómo se lo explico a mi familia?
Te ofrecemos frases sencillas y recursos para contarlo a tu pareja, hijos y entorno. Si lo necesitas, contamos con psicooncología.

Mitos y realidades

• “Un liposarcoma es solo un lipoma grande.” Falso: son entidades distintas con tratamientos diferentes.
• “Si me operan rápido sin biopsia, mejor.” Falso: planificar evita la cirugía no planificada que complica todo.
• “Las metástasis óseas no se operan nunca.” Falso: en casos seleccionados, la cirugía mejora dolor y movilidad y ayuda al control de la enfermedad.

Cómo prepararte para la primera visita

• Trae informes, CDs de RM/TC/PET y el informe de biopsia si lo tienes.
• Anota tus 3–5 preguntas clave.
• Ven con acompañante si te ayuda.
• Si vives lejos, podemos coordinar teleconsulta inicial para revisar estudios y planificar.

Seguimiento: tan importante como el tratamiento

Tras el tratamiento, programamos un calendario de revisiones con exploración e imagen. Buscamos detectar recidivas a tiempo y cuidar tu función, dolor y calidad de vida. También es el momento para resolver dudas al volver a tu rutina.

Cuándo pedir una segunda opinión

Siempre que tengas dudas o antes de una cirugía mayor. Las segundas opiniones en centros con experiencia en sarcomas aportan valor y tranquilidad. Estoy disponible para revisar tu caso en Hospital Quirón Barcelona.

¿Tienes un bulto que crece o duele? ¿Sospecha de sarcoma? Cuáles son los pasos clave del tratamiento?

No esperes. Atiendo tumores de partes blandas, sarcomas, lipomas complejos y metástasis óseas en la Unidad de Tumores Musculoesqueléticos de Hospital Quirón Barcelona.

👉 Pide tu cita aquí
📞 Teléfono de citas: +34 93 255 40 00

¿Te quedan dudas?

Déjalas en los comentarios o escríbeme por Instagram: @drrobertovelez. Me ayudará a preparar nuevos vídeos y artículos que respondan justo a lo que necesitas.

Este artículo es informativo y no sustituye una consulta médica. Cada caso debe valorarse de forma individual en una unidad especializada.

La entrada Pronóstico en sarcomas: cómo hablarlo en consulta se publicó primero en dr roberto.

]]>
STOP: Cómo comunicar un diagnóstico de “osteosarcoma” https://www.drrobertovelez.com/index.php/2025/09/04/como-comunicar-un-osteosarcoma/ Thu, 04 Sep 2025 14:10:16 +0000 https://www.drrobertovelez.com/?p=3830 🗣️ La importancia del lenguaje en la primera visita y como comunicar ante un posible diagnóstico de osteosarcoma. En el ámbito de la ortopedia oncológica, la comunicación en sospecha de […]

La entrada STOP: Cómo comunicar un diagnóstico de “osteosarcoma” se publicó primero en dr roberto.

]]>
🗣 La importancia del lenguaje en la primera visita y como comunicar ante un posible diagnóstico de osteosarcoma. En el ámbito de la ortopedia oncológica, la comunicación en sospecha de osteosarcoma es un momento clave. La primera visita médica suele estar cargada de incertidumbre, y la forma en la que se transmite la información puede influir enormemente en la manera en que el paciente afronta el diagnóstico y el tratamiento.

Una explicación apresurada o mal formulada puede generar ansiedad, bloqueo emocional o incluso desconfianza hacia el equipo médico. Por eso, la elección de las palabras importa.

💬 Comunicación clara, gradual y humana

Cuando un paciente acude con una imagen o un informe que sugiere una lesión agresiva, el primer paso no es dar un diagnóstico definitivo, sino transmitir información que oriente sin generar alarma.

✅ Lo ideal es usar frases como:

“Parece una lesión agresiva, pero necesitamos más pruebas para entender exactamente de qué se trata.”

Y evitar términos prematuros como:

  • “cáncer”
  • “tumor”
  • “sarcoma”

Aun si la sospecha es alta, emplear esas palabras sin confirmación puede generar un impacto emocional innecesario y cerrar la puerta a una comunicación abierta.

🧭 Información por etapas: menos es más

Es preferible estructurar la conversación en capas:

  1. Primero, explicar que se ha detectado una alteración y que es necesario estudiarla a fondo.
  2. Después, detallar los siguientes pasos: resonancia magnética, biopsia, comité multidisciplinar.
  3. Y más adelante, una vez confirmado el diagnóstico, sí se puede hablar con más precisión.

Esto permite que el paciente y su entorno asimilen poco a poco la información y mantengan una actitud activa en lugar de quedarse bloqueados por el miedo.

🧠 Comprensión emocional: no todo entra a la primera

En esa primera consulta, es frecuente que el paciente solo retenga una fracción del contenido. Por eso es importante:

  • Repetir lo esencial de forma sencilla.
  • Escribir un pequeño resumen con los próximos pasos.
  • Acompañarlo, si es posible, con una enfermera o persona de apoyo del equipo.
  • Invitarlo a volver acompañado a la siguiente consulta.

En definitiva, la claridad no es solo un acto médico, es un acto de empatía.

🤝 La confianza se construye desde el primer minuto

Más allá de los estudios, protocolos o cirugías, el primer contacto con el especialista marca el tono emocional del proceso. Y la confianza no se gana con tecnicismos, sino con humanidad.

✅ Mostrar cercanía, mirar a los ojos, escuchar activamente.

✅ Dejar claro que hay un camino a seguir, que no están solos.

✅ Y sobre todo, que el tratamiento no empieza en el quirófano, empieza en la conversación.

Cuando el paciente siente que está en manos de un equipo que sabe lo que hace y que lo entiende como persona, el vínculo terapéutico se fortalece. Y eso, a veces, es tan importante como el tratamiento mismo.

👨‍⚕️ Conclusión

En el ámbito de la ortopedia oncológica, la comunicación en sospecha de osteosarcoma es un momento clave. La primera visita médica suele estar cargada de incertidumbre, y la forma en la que se transmite la información puede influir enormemente en la manera en que el paciente afronta el diagnóstico y el tratamiento. El diagnóstico de una lesión sospechosa en ortopedia oncológica requiere más que tecnología y precisión quirúrgica. Requiere palabras bien elegidas, tiempo para escuchar y el compromiso de acompañar.

Soy el Dr. Roberto Vélez, especialista en Ortopedia Oncológica, y creo firmemente que la forma en que hablamos puede sanar tanto como la forma en que operamos.

Si también quieres saber más sobre el tratamiento quirúrgico puedes leer este articulo sobre  como se opera una osteosarcoma.

O entender sobre la actualidad molecular de los sarcomas.

La entrada STOP: Cómo comunicar un diagnóstico de “osteosarcoma” se publicó primero en dr roberto.

]]>
🩺 Sarcoma: riesgos de una cirugía no planificada https://www.drrobertovelez.com/index.php/2025/07/10/cirugia-no-planificada-sarcoma/ Thu, 10 Jul 2025 15:06:17 +0000 https://www.drrobertovelez.com/?p=3785 Dr. Roberto Vélez – Ortopedia Oncológica, Barcelona ¿Sabías que aproximadamente 1 de cada 5 sarcomas de partes blandas se operan mal, realizándose una cirugía no planificada de sarcoma? Esto significa […]

La entrada 🩺 Sarcoma: riesgos de una cirugía no planificada se publicó primero en dr roberto.

]]>
Dr. Roberto Vélez – Ortopedia Oncológica, Barcelona

¿Sabías que aproximadamente 1 de cada 5 sarcomas de partes blandas se operan mal, realizándose una cirugía no planificada de sarcoma?

Esto significa que hasta un 20 % de los pacientes son intervenidos por cirujanos que, lamentablemente, no han sospechado que el bulto que están extirpando es un sarcoma, ni conocen la técnica adecuada para operarlo correctamente.

➡ La cirugía no planificada de sarcoma ocurre cuando el tumor es retirado sin diagnóstico ni planificación previa, lo que afecta gravemente el pronóstico del paciente.

Por este motivo, en medicina se le conoce como “cirugía o resección no planificada”, y en la literatura científica internacional también recibe el nombre de “Whoops procedure”.

Este término podría traducirse como “cirugía Ups”, expresión que explica con ironía el error cometido, como veremos más adelante.

🚨 ¿Cómo ocurre una cirugía no planificada?

Todo suele comenzar cuando el paciente nota un bulto en partes blandas, generalmente de unos 5 centímetros, y acude a un cirujano general.

Sin embargo, en muchos casos ni siquiera se realiza una exploración física detallada. En su lugar, el cirujano solicita una ecografía que interpreta como un “quiste de grasa” o un “tumor indeterminado”. Entonces, sin más estudios, programa la cirugía.

Durante la operación, el tumor se reseca de forma incompleta, lo cual empeora la situación:

•Marginalmente, repelando el tumor.

•O peor aún, intratumoralmente, resecándolo en fragmentos y dejando restos tumorales en el lecho quirúrgico.

Por consiguiente, el verdadero problema aparece después, cuando el cirujano recibe el informe de anatomía patológica.

En ese momento, lee el diagnóstico:

“Sarcoma pleomórfico indiferenciado, márgenes afectados.”

Es justo entonces cuando el cirujano piensa: “¡Ups!”, al darse cuenta de la gravedad de la situación.

🔍 ¿Qué hacemos cuando recibimos estos casos?

En la mayoría de los casos, el cirujano refiere al paciente a una Unidad de Sarcomas especializada, donde evaluamos cuidadosamente la situación.

A partir de ahí, planteamos un tratamiento multidisciplinar, con el objetivo de recuperar el pronóstico inicial y ofrecer al paciente la mejor oportunidad para superar la enfermedad

📌 Un caso real

🧑‍🦰Paciente: Mujer de 50 años

🦵🏽 Historia: Bulto creciente en la rodilla derecha.

🔪Primera cirugía: Resección incompleta de un tumor, diagnosticado luego como sarcoma pleomórfico fusocelular de alto grado, con márgenes positivos. (CIRUGÍA NO PLANIFICADA DE UN SARCOMA)

🔎 Nuestra valoración inicial:

La resonancia magnética mostraba un extenso hematoma contaminando los tejidos anteriores de la rodilla, incluyendo el aparato extensor.

⚙ Tratamiento inicial:

Quimioterapia y radioterapia preoperatoria.

Una resonancia posterior mostró desaparición del hematoma, pero persistían dos restos tumorales en contacto con el tendón cuadricipital y rotuliano.

🤝 Decisión del comité:

Cirugía radical, conjunta con cirugía plástica.

🛠 Los pasos clave de la cirugía (ver fotos en cada paso):

1. Marcaje de la cicatriz y zona a resecar en la rodilla derecha. Preparación del colgajo microvascular ALT.

Marcaje preoperatorio

Marcaje de la zona a resecar y el colgajo microvascular ALT

2. Resección completa de la piel cicatricial y del aparato extensor anterior.

Resección

Se reseca toda la cicatriz y toda la piel que pudo contaminarse.

Aparato extensor

El  bloque incluía todo el aparato extensor de la rodilla, con sus tendones cuadricipital y rotuliano y la rótula.

Defecto tras la resección

Defecto tras la resección

3. Preparación del injerto del aparato extensor.

Aloinjerto de aparato extensor

Aloinjerto de aparato extensor

 

4. Sutura proximal del injerto al tendón cuadricipital residual.

Se pasa el tendon del injerto a través de un ojal del tendón cuadricipital remanente y se suturan con suturas no reabsorbibles.

Sutura de tendon

Reparación tendinosa

 

5. Fijación del injerto a la tibia con 3 tornillos.

Control radioscópico de osteosintesis con 3 tornillos

Control radioscópico de osteosintesis con 3 tornillos

 

6. Sutura completa con la pierna en extensión.

Reparación completal

Reparación completa

 

7. Cobertura con colgajo microvascular ALT y monitorización microvascular postoperatoria.

 

8. Régimen postoperatorio estricto:

  • 2 semanas en cama con la pierna en extensión.
  • Inmovilización con rodillera bloqueada en extension 1 mes.
  • Flexión progresiva a 30º y luego 45º en las siguientes semanas.
  • Fisioterapia intensiva tras retirar la inmovilización a los 2 meses.
  • Revisión a los 3 meses: movilidad recuperada, sin evidencia de sarcoma en las pruebas.
Postoperatorio

Cicatrizacion completa de las heridas quirúrgicas

Extensión activa

Extensión activa Y recuperación funcional

⚠ Conclusión

La cirugía no planificada de un sarcoma es una complicación evitable, pero que requiere un tratamiento complejo y coordinado cuando ocurre.

👉 La derivación a una Unidad de Sarcomas es esencial.

👉 El manejo multidisciplinar es la única vía para darle al paciente la mejor oportunidad de superar la enfermedad.

📞 ¿Tienes dudas sobre el manejo de un sarcoma?

No dudes en contactar con nuestra Unidad de Sarcomas. Estamos aquí para ayudarte.

Bibliografía: Artículo sobre Cirugía no Planificada de Sarcoma

También te puede interesar mi Reel de instagram! Dale like y síguenos!

La entrada 🩺 Sarcoma: riesgos de una cirugía no planificada se publicó primero en dr roberto.

]]>
Cuándo es necesario operar una metástasis ósea? https://www.drrobertovelez.com/index.php/2025/07/05/operar-metastasis-oseas/ Sat, 05 Jul 2025 14:29:49 +0000 https://www.drrobertovelez.com/?p=3761 Las metástasis óseas son lesiones que aparecen cuando un cáncer de otro órgano (como mama, pulmón o próstata) se extiende a los huesos. En muchos casos, estas lesiones pueden tratarse […]

La entrada Cuándo es necesario operar una metástasis ósea? se publicó primero en dr roberto.

]]>
Las metástasis óseas son lesiones que aparecen cuando un cáncer de otro órgano (como mama, pulmón o próstata) se extiende a los huesos. En muchos casos, estas lesiones pueden tratarse con quimioterapia  y radioterapia. Pero, ¿cuándo es necesario operar?

Aquí te explico las tres situaciones principales en las que la cirugía puede ser necesaria:

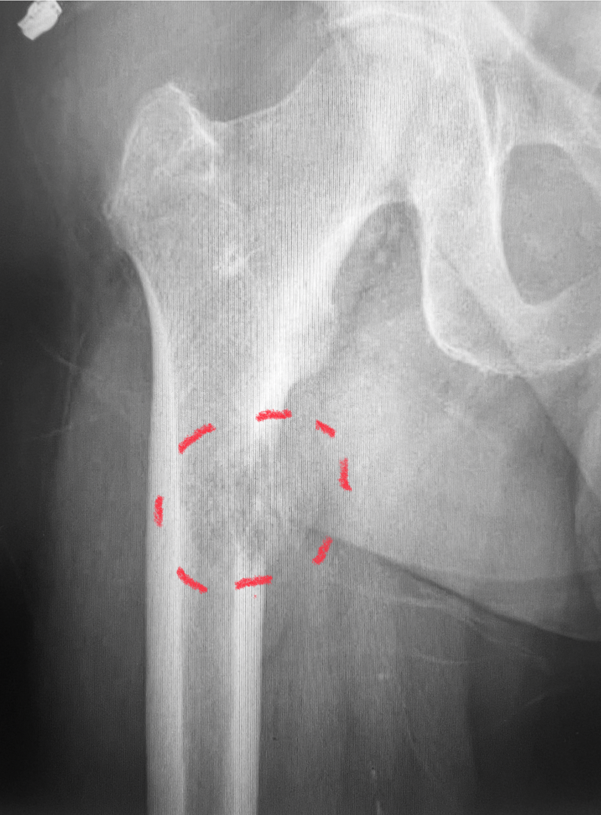
🔹 1. Osteosíntesis profiláctica: prevenir la fractura antes de que ocurra

Cuando la metástasis debilita mucho el hueso, existe riesgo de que se fracture incluso con movimientos cotidianos. En estos casos, podemos colocar un clavo (osteosíntesis profiláctica) para reforzar el hueso y evitar la fractura.

👉 Ejemplo: una metástasis en el fémur que está debilitando más del 50% del hueso.

Metástasis ósea lítica con alto riesgo de fractura patológica

Metástasis ósea lítica con alto riesgo de fractura patológica

 

Fijación profiláctica de una metástasis de femur evitando la fractura

Fijación profiláctica de una metástasis de femur evitando la fractura

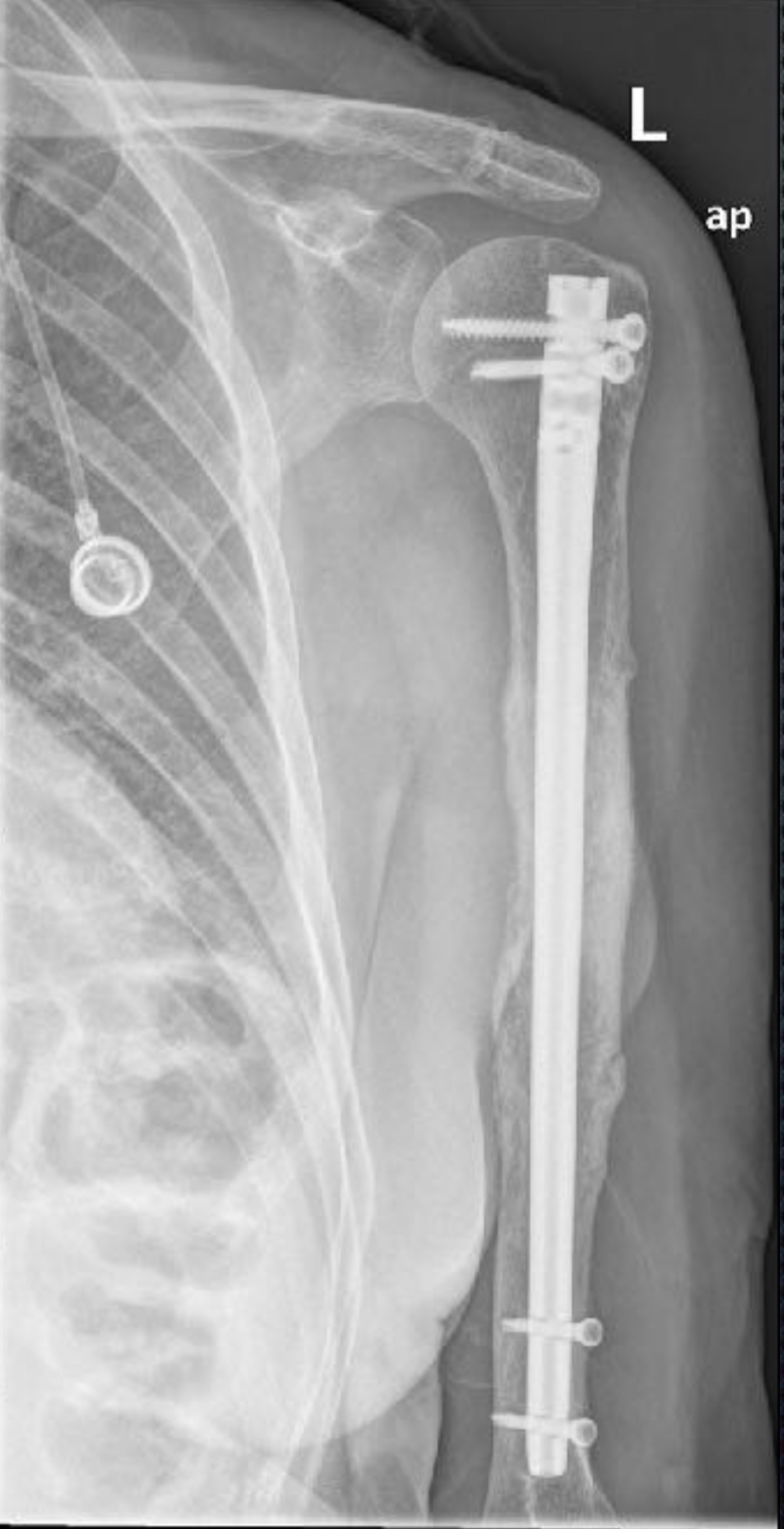
🔹 2. Osteosíntesis de fracturas patológicas: reparar el hueso roto

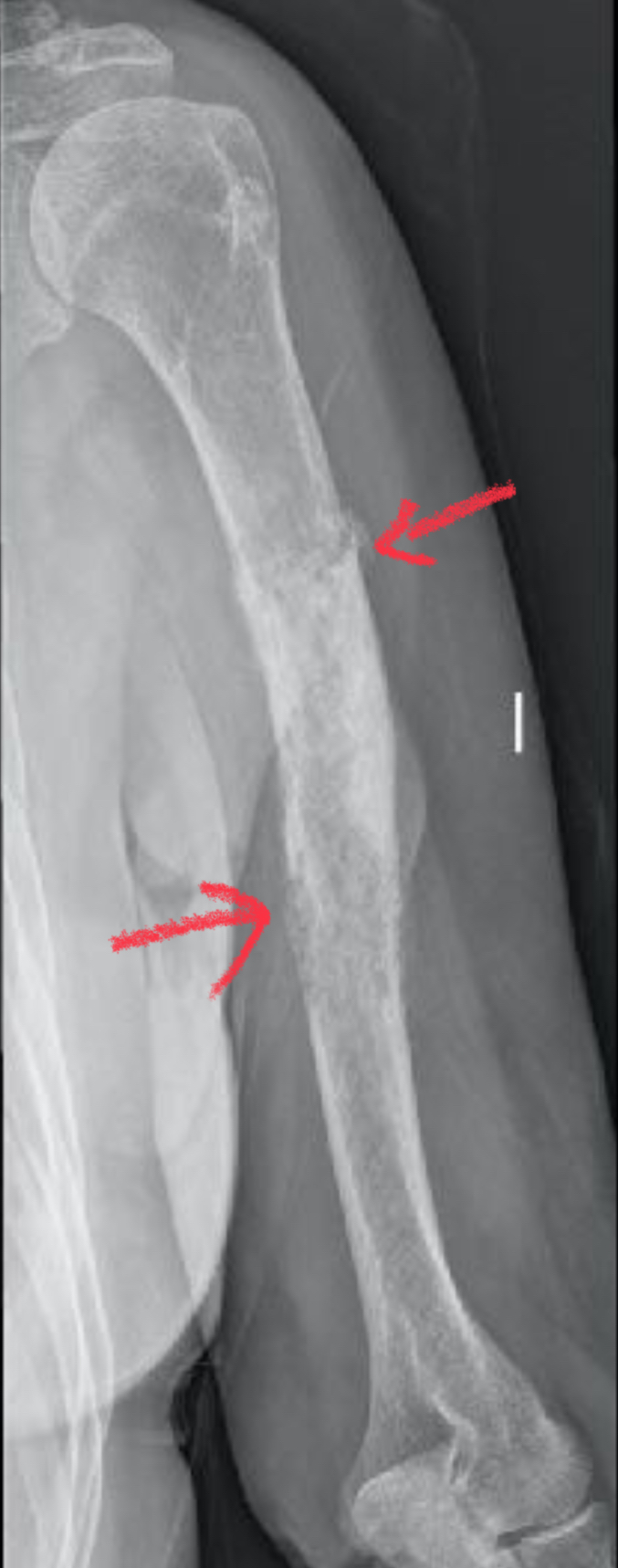
A veces, la fractura ya ha ocurrido y causa un dolor muy intenso. En estos casos, la cirugía busca estabilizar el hueso roto y aliviar el dolor, permitiendo que el paciente recupere movilidad más rápidamente.

👉 Ejemplo: una fractura en el húmero que impide mover el brazo.

Fractura patológica de humero

Fractura patológica de humero

Osteosíntesis con clavo humeral de fractura patológica

Osteosíntesis con clavo humeral de fractura patológica

🔹 3. Resección oncológica de metástasis únicas: eliminar el tumor cuando es posible

En pacientes que tienen una metástasis ósea única o solitaria, localizada y controlable, se puede plantear la resección oncológica, que es retirar el tumor completo con márgenes de seguridad. Esta cirugía puede mejorar el control local del cáncer e incluso prolongar la supervivencia en algunos casos.

👉 Ejemplo: una metástasis única en el fémur:

Metástasis única

Metástasis ósea única de cancer renal

Resección oncológica de femur distal

Resección oncológica amplia con márgenes de seguridad del femur distal y reconstrucción con megaprótesis

 

Resultado funcional y radiológico excelente

Resultado funcional y radiológico excelente

 

⚠ ¿Todas las metástasis óseas deben operarse?

No. Muchas pueden tratarse solo con quimioterapia, radioterapia y otras estrategias. La decisión se toma en un equipo multidisciplinar, valorando el estado general del paciente, el tipo de tumor y el pronóstico.

📞 ¿Tienes dudas?

Cada paciente es diferente. Si tienes una metástasis ósea y te han hablado de cirugía, consulta con un especialista en tumores musculoesqueléticos.

La entrada Cuándo es necesario operar una metástasis ósea? se publicó primero en dr roberto.

]]>
10 pasos clave en el manejo de un sarcoma de partes blandas https://www.drrobertovelez.com/index.php/2025/06/26/manejo-sarcoma-partes-blandas/ Thu, 26 Jun 2025 16:58:22 +0000 https://www.drrobertovelez.com/?p=3735 ¿Sabías que el manejo correcto de un sarcoma de partes blandas puede cambiar radicalmente el pronóstico del paciente? Estos son los 10 pasos clave del manejo! 1. Valoración y exploración […]

La entrada 10 pasos clave en el manejo de un sarcoma de partes blandas se publicó primero en dr roberto.

]]>
¿Sabías que el manejo correcto de un sarcoma de partes blandas puede cambiar radicalmente el pronóstico del paciente? Estos son los 10 pasos clave del manejo!

1. Valoración y exploración clínica

Lo primero es acudir a un experto en sarcomas, normalmente un traumatólogo para que evalúe tus síntomas y revise el bulto o tumoración. Los bultos que son profundos, de mas de 5 cms., duros, dolorosos y que hayan crecido son los preocupantes.

Sarcoma de partes blandas

Exploración física de un sarcoma de partes blandas

2. Resonancia Magnética

Cuando existe la sospecha de un sarcoma de partes blandas, la mejor prueba de imágen para su correcta valoración es una resonancia magnética con contraste. La resonancia nos permite objetivar, el tamaño del tumor, la profundidad, las características de su contenido, y la relación con los nervios y arterias cercanos.

Resonancia Magnética de un sarcoma de partes blandas en el muslo

3. Biopsia guiada por ecografía

Si tras realizar una resonancia magnética hay una sospecha de un sarcoma, se debe proceder con una biopsia guiada por ecografía. La biopsia la realiza el radiólogo del equipo multidisciplinar de sarcomas en línea con la futura incisión quirúrgica. La utilidad de la ecografía es doble, ayuda a tomar la muestra de la zona mas representativa del tumor y a la vez evitando lesionar nervios o arterias que estén cerca.

Biopsia guiada con ecografía de un sarcoma de partes blandas

Biopsia guiada con ecografía de un sarcoma de partes blandas

4. Análisis histopatológico 

El diagnóstico definitivo del sarcoma viene del estudio de Anatomía Patológica realizado por un Patólogo experto en Sarcomas de la biopsia. Se obtienen datos fundamentales como el subtipo de sarcoma y su grado de agresividad, siendo ambos importantísimos para decidir el mejor tratamiento para el paciente.

Histología de un sarcoma de partes blandas

Histología de un sarcoma de partes blandas

5. Estadiaje

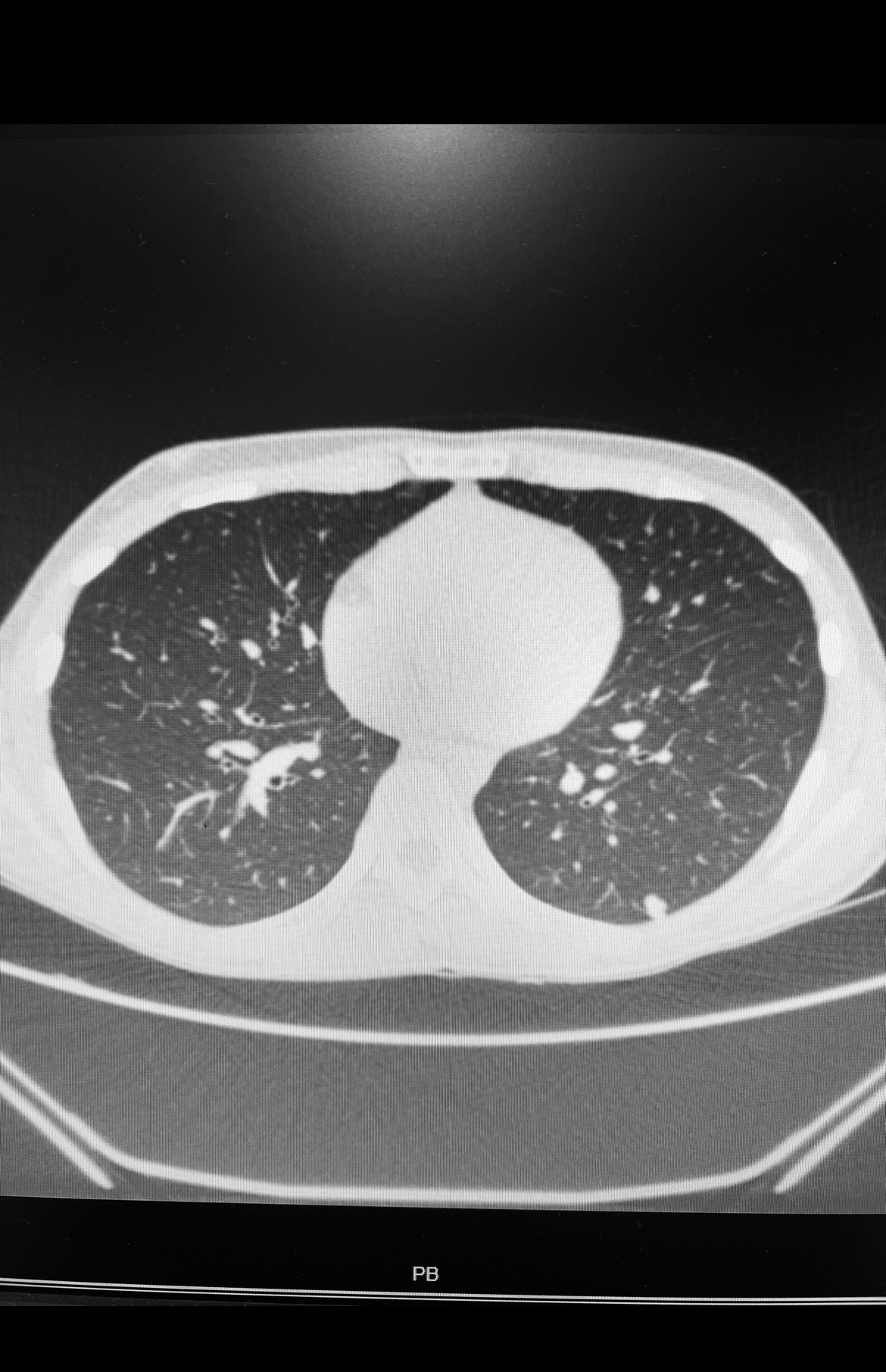
Tras el diagnóstico de una sarcoma de partes blandas, confirmado por la biopsia, se debe realizar un estadiaje con un TC de tórax. El objetivo es descartar una posible metástasis pulmonar. El pulmón es la localización mas frecuente de metástasis de los sarcomas de partes blandas. En algunos subtipos de sarcomas de partes blandas se pueden también solicitar un PET-TAC, una gammagrafía ósea, y/o una resonancia magnética de cuerpo entero.

TC de tórax con metástasis pulmonar en lóbulo inferior izquierdo

TC de tórax con metástasis pulmonar en lóbulo inferior izquierdo

6. Comité Multidisciplinar de Sarcomas

Equipo fundamental en el manejo de sarcomas que incluye cirujanos, oncólogos, radioterapéutas, patólogos, y radiólogos expertos en sarcomas. En reuniones semanales se valoran cada caso de sarcomas, revisando las pruebas de imágen, las biopsias y los estudios de estadiaje para proponer y definir el mejor tratamiento a cada paciente.

Comité Multidisciplinar de Sarcomas

Comité Multidisciplinar de Sarcomas

7. Cirugía Oncológica

ES EL PASO MAS IMPORTANTE!

La cirugía del sarcoma es el único tratamiento CURATIVO. Se planifica acorde a la resonancia magnética para definir la resección que debe ser amplia con márgenes negativos. Es decir, se debe resecar el sarcoma rodeado de tejido sano alrededor. La cirugía debe ser realizada por cirujanos con experiencia en sarcomas, y en centros hospitalarios acreditados para tratarlos.

Dr. Roberto Velez operando un sarcoma

Dr. Roberto Velez operando un sarcoma

Sarcoma de partes blandas tras resección amplia con márgenes negativos rodeado de tejido sano

Sarcoma de partes blandas tras resección amplia con márgenes negativos rodeado de tejido sano

8. Radioterapia 

La mayoría de los pacientes con sarcomas e partes blandas requieren tratamiento adicional con radioterapia. La radioterapia puede ser antes de la cirugía, llamándose radioterapia neoadyuvante, o después de la cirugía llamandosé radioterapia adyuvante. El equipo multidisciplinar decidirá cual es la mejor opción para el paciente. En casos de alto riesgo de recaída, también se puede administrar quimioterapia.

El Dr. Roberto Vélez comentando con el Oncólogo Radioterápico el área de irradiación de un sarcoma de partes blandas.

El Dr. Roberto Vélez comentando con el Oncólogo Radioterápico el área de irradiación de un sarcoma de partes blandas.

9. Rehabilitación

Todos los pacientes tratados de un sarcoma de partes blandas deben realizar rehabilitación para intentar recuperar completamente la funcionalidad tras la cirugía y radioterapia y minimizar las secuelas.

Paciente con excelente función tras la rehabilitación de una cirugía de sarcoma del brazo derecho

Paciente con excelente función tras la rehabilitación de una cirugía de sarcoma del brazo derecho

10. Seguimiento

Una vez finalizado el tratamiento los pacientes deben realizar seguimiento periódico, especialmente los primeros 2-3 años cuando es más frecuente las recaídas. El visitas de seguimiento normalmente se realizan hasta los 10 años post operatorios, en el cual se incluye una valoración por los médicos tratantes, resonancia magnética de la zona operada, y TC o RX de tórax.

El manejo del sarcoma no admite errores. Consulta siempre con un equipo especializado!

📲 Sígueme para más contenido sobre cirugía y oncología musculoesquelética.

👨‍⚕️ @drrobertovelez

La entrada 10 pasos clave en el manejo de un sarcoma de partes blandas se publicó primero en dr roberto.

]]>
Como se opera un osteosarcoma? https://www.drrobertovelez.com/index.php/2025/06/17/cirugia-del-osteosarcoma/ Tue, 17 Jun 2025 14:16:18 +0000 https://www.drrobertovelez.com/?p=3709 La cirugía de un osteosarcoma requiere una planificación muy precisa. La cirugía tiene dos objetivos clave, resecar el tumor con márgenes negativos y la reconstrucción duradera de la extremidad. La […]

La entrada Como se opera un osteosarcoma? se publicó primero en dr roberto.

]]>
La cirugía de un osteosarcoma requiere una planificación muy precisa. La cirugía tiene dos objetivos clave, resecar el tumor con márgenes negativos y la reconstrucción duradera de la extremidad.

La resección del osteosarcoma con márgenes negativos es el paso clave para erradicar el tumor. En este caso vemos un osteosarcoma de femur.

Osteosarcoma

Osteosarcoma femur

Debemos realizar los cortes en el femur siguiendo las líneas azules, dejando el área verde de seguridad (márgenes negativos) y lejos del area roja donde se encuentra el osteosarcoma

Planificación de resección ósea de osteosarcoma.

Planificación de resección ósea de osteosarcoma.

La planificación también debe tener presente la extensión del tumor a las partes blandas. Esto es el componente del osteosarcoma que sale del hueso hacia la musculatura que vemos en rojo. Nuevamente planificamos la resección siguiendo la línea azul, a través de músculo sano, dejando el área verde de músculo, como márgen de seguridad (márgenes negativos).

Osteosarcoma femur, componente partes blandas.

Planificación de resección de componente de partes blandas del osteosarcoma.

En este caso, hay un paso técnico de la intervención que es la liberación de los vasos femorales que están muy cerca del tumor en su cara posterior. Vemos en la resonancia la arteria y vena femoral marcados con flecha. Su liberación requiere un trabajo minucioso para no entrar en el área de seguridad ni tampoco lesionar la arteria o la vena.

Arteria y vena femoral y su relación con el osteosarcoma

Arteria y vena femoral y su relación con el osteosarcoma

Las imágenes en cirugía muestran la zona tumoral resecada preservando indemnes las arterias, venas y nervios del paciente.

Cirugía Resección Osteosarcoma

Resección amplia de osteosarcoma, preservando el paquete neurovascular.

La pieza tumoral muestra, que con una planificación adecuada, podemos lograr una resección en la cual vemos el tumor completamente rodeado del músculo y hueso sano. Al lado de la pieza tumoral se visualiza el aloinjerto óseo de femur que utilizamos para reconstruir el defecto.

Osteosarcoma femur y aloinjerto óseo

Osteosarcoma femur y aloinjerto óseo

Para la reconstrucción utilizamos el aloinjerto óseo de femur y tres placas de osteosíntesis para restituir biológicamente la extremidad.

Reconstrucción con aloinjerto intercalar

Reconstrucción con aloinjerto intercalar

Tras el análisis de Anatomía Patológica vemos que la resección lograda es idónea, con MÁRGENES NEGATIVOS.

Análisis de Anatomia Patológica de Osteosarcoma

Análisis de Anatomia Patológica de Osteosarcoma

Una resección con MÁRGENES NEGATIVOS, es el único factor modificable en el tratamiento de los sarcomas. Una cirugía bien realizada es el paso fundamental para curar a los pacientes con SARCOMA.

 

La entrada Como se opera un osteosarcoma? se publicó primero en dr roberto.

]]>
Ejercicio y cáncer: un tratamiento que empieza con un paso https://www.drrobertovelez.com/index.php/2025/06/11/ejercicio-cancer-beneficios/ Wed, 11 Jun 2025 14:33:12 +0000 https://www.drrobertovelez.com/?p=3694 Dr. Roberto Vélez – Especialista en Ortopedia Oncológica Un nuevo estudio demuestra que el ejercicio regular puede mejorar la calidad de vida, frenar la progresión del cáncer e incluso alargar […]

La entrada Ejercicio y cáncer: un tratamiento que empieza con un paso se publicó primero en dr roberto.

]]>
Dr. Roberto Vélez – Especialista en Ortopedia Oncológica

Un nuevo estudio demuestra que el ejercicio regular puede mejorar la calidad de vida, frenar la progresión del cáncer e incluso alargar la vida de los pacientes oncológicos.

¿Qué puedo hacer yo, doctor?

Es una de las preguntas más frecuentes que recibo en la consulta. Cuando a una persona se le diagnostica cáncer, es natural buscar todas las herramientas posibles para enfrentarlo. La buena noticia es que una de las más efectivas está al alcance de todos: moverse.

Un nuevo y sólido estudio publicado en el New England Journal of Medicine confirma lo que muchos especialistas ya intuíamos: el ejercicio físico no es solo seguro en pacientes con cáncer, sino que puede mejorar su pronóstico.

¿Qué demostró el estudio?

El ensayo clínico incluyó a más de 500 personas con cáncer metastásico, y analizó los efectos de incorporar 150 minutos semanales de actividad física moderada (como caminar, pedalear o nadar) frente al tratamiento habitual sin ejercicio guiado.

Los resultados fueron contundentes:
– 37% menos riesgo de muerte en el grupo que realizó ejercicio.

– 28% menos de probabilidad que el cancer reaparezca

– Mejor forma física (VO2 máx., fuerza y resistencia).
– Reducción significativa de la fatiga, uno de los síntomas más limitantes en oncología.
– Mayor calidad de vida, más independencia y mejor estado anímico.
– Sin efectos adversos graves relacionados con la actividad física.

“El ejercicio regular no solo mejora cómo se sienten los pacientes. También influye en cómo evoluciona su enfermedad.”

¿Por qué funciona?

El ejercicio estimula el sistema inmunológico, reduce la inflamación, mejora el metabolismo y ayuda a preservar la masa muscular. Todos estos factores son claves para enfrentar el cáncer con más fuerza y resiliencia.

Además, a nivel psicológico, el ejercicio reduce la ansiedad, mejora el sueño y da una sensación de control que muchos pacientes agradecen profundamente.

¿Por dónde empiezo?

No se trata de correr maratones. El primer paso puede ser tan simple como una caminata diaria de 20–30 minutos. Lo importante es la regularidad y adaptar el esfuerzo a cada persona. Consulta siempre con tu equipo médico antes de empezar un plan de ejercicio, sobre todo si estás en tratamiento activo.

En resumen

El ejercicio es más que prevención: es parte del tratamiento.
Desde mi experiencia en Ortopedia Oncológica, cada vez tengo más claro que prescribir movimiento es tan importante como recetar medicamentos.

¿Te animas a dar el primer paso?

📍 Si quieres saber más o necesitas un plan adaptado, no dudes en contactarme.

📲 Y si estás en redes, te invito a ver mi reel sobre este tema aquí: https://www.instagram.com/reel/DKxEXlvsMe4/

Referencias

Cormie P, et al. Effect of Structured Exercise on Survival and Clinical Outcomes in Patients With Advanced Cancer: A Randomized Clinical Trial. New England Journal of Medicine. 2024. DOI: 10.1056/NEJMoa2502760

La entrada Ejercicio y cáncer: un tratamiento que empieza con un paso se publicó primero en dr roberto.

]]>
Diferencia entre encondroma y condrosarcoma, la importancia de un diagnóstico especializado https://www.drrobertovelez.com/index.php/2025/06/02/diferencia-encondroma-condrosarcoma/ Mon, 02 Jun 2025 17:19:08 +0000 https://www.drrobertovelez.com/?p=3675 Diferencia entre encondroma y condrosarcoma: claves diagnósticas con BACTIP La diferencia entre encondroma y condrosarcoma es una de las principales preocupaciones al encontrar una lesión cartilaginosa en una radiografía o […]

La entrada Diferencia entre encondroma y condrosarcoma, la importancia de un diagnóstico especializado se publicó primero en dr roberto.

]]>
Diferencia entre encondroma y condrosarcoma: claves diagnósticas con BACTIP

La diferencia entre encondroma y condrosarcoma es una de las principales preocupaciones al encontrar una lesión cartilaginosa en una radiografía o resonancia. Aunque pueden parecer similares, el condrosarcoma es un tumor maligno que requiere un manejo más complejo. Por eso, es esencial conocer los signos que ayudan a diferenciarlos.

Para una explicación general sobre qué es un encondroma, consulta este artículo previo del blog.

¿Por qué es difícil diferenciarlos?

Ambos tumores pueden parecer similares en las pruebas de imagen.

Sin embargo, hay ciertos signos que pueden indicar una mayor probabilidad de malignidad. Estos incluyen dolor persistente, aumento progresivo del tamaño, destrucción del hueso cortical o masa en tejidos blandos.

Reconocer estas señales requiere experiencia y un enfoque sistemático.

Cómo se establece la diferencia entre encondroma y condrosarcoma

Una de las formas más efectivas de establecer la diferencia entre encondroma y condrosarcoma es usar un sistema de evaluación estructurado como el protocolo BACTIP.

Algoritmo BACTIP

Algoritmo BACTIP para diferenciar encondroma y condrosarcoma

Este diagrama ayuda a tomar decisiones clínicas basadas en la longitud del tumor y el tipo de escotadura.

Factores importantes para el diagnóstico

Dos aspectos clave son el tamaño del tumor y la escotadura endostal.

Lesiones mayores de 4 cm deben ser evaluadas con más detalle.

A mayor escotadura, mayor sospecha de malignidad.

Escotadura endostal y medición tumoral

Evaluación de escotadura endostal y medición tumoral en RM

Se observan los tres grados de escotadura: ninguna, focal y generalizada.

También se ilustra cómo medir correctamente la longitud del tumor.

Ejemplo de tumor de 6 cm en resonancia

Evaluación de escotadura endostal y medición tumoral en RM

Este caso muestra una lesión de 6 cm.

Por tamaño y aspecto, se debe evaluar en una unidad especializada.

Patrones en cortes axiales

Los cortes axiales ofrecen información adicional: morfología, calcificaciones y distribución del cartílago.

Cortes axiales de resonancia en tumores de cartílago

Estos patrones requieren interpretación experta para un diagnóstico certero.

¿Cuándo acudir a un especialista?

La diferencia entre encondroma y condrosarcoma no siempre es evidente.

Por eso, si hay duda o la lesión mide más de 4 cm, se recomienda consultar con un especialista en tumores del aparato locomotor.

Un diagnóstico preciso evita tratamientos innecesarios y permite actuar a tiempo.

Referencias

  1. Tsagkozis P, Papanastassiou I, Squire T, et al. Birmingham Atypical Cartilaginous Tumour Imaging Protocol (BACTIP): a consensus-based protocol for the imaging of atypical cartilaginous tumours and enchondromas in long bones. Skeletal Radiol. 2024. doi:10.1007/s00256-023-04537-w
  2. Sitio oficial del protocolo BACTIP: https://bactip.co.uk/

La entrada Diferencia entre encondroma y condrosarcoma, la importancia de un diagnóstico especializado se publicó primero en dr roberto.

]]>
¿Qué es un encondroma y por qué es importante detectarlo a tiempo? https://www.drrobertovelez.com/index.php/2025/05/27/que-es-un-encondroma/ Tue, 27 May 2025 20:29:24 +0000 https://www.drrobertovelez.com/?p=3669   ¿Qué es un encondroma y por qué es importante detectarlo a tiempo? Dr. Roberto Vélez – Especialista en Ortopedia Oncológica, Barcelona El encondroma es un tumor óseo benigno de […]

La entrada ¿Qué es un encondroma y por qué es importante detectarlo a tiempo? se publicó primero en dr roberto.

]]>
 

¿Qué es un encondroma y por qué es importante detectarlo a tiempo?

Dr. Roberto Vélez – Especialista en Ortopedia Oncológica, Barcelona

El encondroma es un tumor óseo benigno de origen cartilaginoso que se desarrolla en el interior del hueso, habitualmente en la médula ósea. Es más frecuente en los huesos de las manos y los pies, aunque también puede aparecer en huesos largos como el húmero o el fémur. Aunque se trata de una lesión benigna, su diagnóstico y seguimiento son fundamentales para evitar complicaciones.

En muchos casos, el encondroma no produce síntomas y se detecta de forma casual durante una radiografía realizada por otro motivo. Sin embargo, cuando el tumor crece, puede causar dolor, deformidad o incluso una fractura si debilita el hueso. Ante estos signos, es fundamental acudir a un especialista en ortopedia oncológica.

Basado en mi práctica clínica en unidades especializadas de Barcelona, subrayo la importancia de valorar este tipo de lesiones con precisión. Aunque la mayoría de los encondromas son inofensivos, en algunos casos pueden generar dudas diagnósticas con tumores más agresivos como el condrosarcoma. En estos casos, una resonancia magnética con contraste es la prueba clave para caracterizar adecuadamente la lesión y decidir si es necesario realizar una biopsia o simplemente hacer seguimiento.

En patologías como la encondromatosis o el síndrome de Ollier, donde pueden aparecer múltiples encondromas, el seguimiento estrecho es aún más importante debido al riesgo, aunque bajo, de transformación maligna.

En resumen, aunque el encondroma es una lesión benigna, no debe ignorarse. Un diagnóstico correcto y una evaluación especializada permiten tomar decisiones seguras y ofrecer tranquilidad al paciente.

Imágenes referenciadas:

  • Radiografía de hombro que muestra un encondroma en el húmero proximal, con calcificaciones características en “palomitas de maíz” o en “anillo y arco”, típicas de este tipo de tumor benigno.

  • Ilustración explicativa de un encondroma intraóseo en el húmero, representado por nódulos azulados dentro de la médula ósea, con la zona claramente señalada para facilitar su identificación.

La entrada ¿Qué es un encondroma y por qué es importante detectarlo a tiempo? se publicó primero en dr roberto.

]]>
¿Qué es un encondroma y por qué es importante detectarlo a tiempo? https://www.drrobertovelez.com/index.php/2025/05/27/que-es-un-encondroma-y-por-que-es-importante-detectarlo-a-tiempo/ Tue, 27 May 2025 15:48:25 +0000 https://www.drrobertovelez.com/?p=3660 ¿Qué es un encondroma y por qué es importante detectarlo a tiempo? Dr. Roberto Vélez – Especialista en Ortopedia Oncológica, Barcelona El encondroma es un tumor óseo benigno de origen […]

La entrada ¿Qué es un encondroma y por qué es importante detectarlo a tiempo? se publicó primero en dr roberto.

]]>
¿Qué es un encondroma y por qué es importante detectarlo a tiempo?

Dr. Roberto Vélez – Especialista en Ortopedia Oncológica, Barcelona

El encondroma es un tumor óseo benigno de origen cartilaginoso que se desarrolla en el interior del hueso, habitualmente en la médula ósea. Es más frecuente en los huesos de las manos y los pies, aunque también puede aparecer en huesos largos como el húmero o el fémur. Aunque se trata de una lesión benigna, su diagnóstico y seguimiento son fundamentales para evitar complicaciones.

En muchos casos, el encondroma no produce síntomas y se detecta de forma casual durante una radiografía realizada por otro motivo. Sin embargo, cuando el tumor crece, puede causar dolor, deformidad o incluso una fractura si debilita el hueso. Ante estos signos, es fundamental acudir a un especialista en ortopedia oncológica.

Basado en mi práctica clínica en unidades especializadas de Barcelona, subrayo la importancia de valorar este tipo de lesiones con precisión. Aunque la mayoría de los encondromas son inofensivos, en algunos casos pueden generar dudas diagnósticas con tumores más agresivos como el condrosarcoma. En estos casos, una resonancia magnética con contraste es la prueba clave para caracterizar adecuadamente la lesión y decidir si es necesario realizar una biopsia o simplemente hacer seguimiento.

En patologías como la encondromatosis o el síndrome de Ollier, donde pueden aparecer múltiples encondromas, el seguimiento estrecho es aún más importante debido al riesgo, aunque bajo, de transformación maligna.

En resumen, aunque el encondroma es una lesión benigna, no debe ignorarse. Un diagnóstico correcto y una evaluación especializada permiten tomar decisiones seguras y ofrecer tranquilidad al paciente.

Imágenes referenciadas:

  • Radiografía de hombro que muestra un encondroma en el húmero proximal, con calcificaciones características en “palomitas de maíz” o en “anillo y arco”, típicas de este tipo de tumor benigno.

  • Ilustración explicativa de un encondroma intraóseo en el húmero, representado por nódulos azulados dentro de la médula ósea, con la zona claramente señalada para facilitar su identificación.

La entrada ¿Qué es un encondroma y por qué es importante detectarlo a tiempo? se publicó primero en dr roberto.

]]>