Liposarcoma: Qué es, tipos y tratamiento
¿Qué es un liposarcoma?
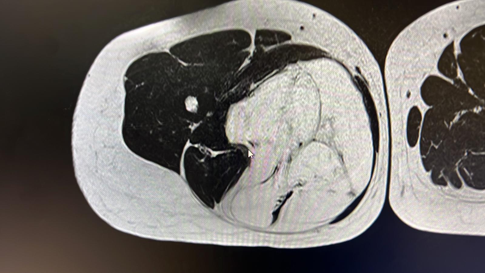
El liposarcoma es un tipo de cáncer que se origina a partir del tejido graso del cuerpo.
Se trata de un subtipo de sarcoma que se desarrolla en los tejidos blandos, comúnmente dentro de los músculos, entre los músculos, en el tejido celular subcutáneo y en el retroperitoneo.
Se produce cuando las células del tejido graso experimentan cambios anormales y comienzan a crecer de manera descontrolada. Puede desarrollarse en cualquier parte del cuerpo que contenga tejido graso, pero es más común en las extremidades, especialmente en los muslos y las piernas. También puede afectar otras áreas, como el abdomen y los tejidos retroperitoneales (ubicados detrás del abdomen).
Tipos de liposarcoma
Existen diferentes tipos, que se clasifican según su apariencia microscópica y características específicas. Algunos de los subtipos más comunes incluyen el liposarcoma bien diferenciado, el liposarcoma mixoide, el liposarcoma desdiferenciado y el liposarcoma pleomórfico.
Tratamiento
El tratamiento generalmente involucra la extirpación quirúrgica del tumor, en algunos casos, se puede combinar con radioterapia y quimioterapia. La elección del tratamiento depende del tamaño, la ubicación y el grado, así como de la salud general del paciente.
Es importante destacar que, aunque es un tipo de cáncer poco común, puede ser agresivo y potencialmente metastásico, lo que significa que puede extenderse a otras partes del cuerpo. Por lo tanto, un diagnóstico temprano y un tratamiento adecuado son fundamentales para mejorar las perspectivas y el pronóstico del paciente.
Para más información, puedes ponerte en contacto con nosotros enviando un email a info@drrobertovelez.com

dr. Roberto Vélez

Dr. Roberto Vélez Villa